颈椎病是临床上常见的退行性疾病,是中老年群体高发的疾病,随着“低头族”现象的泛滥,颈椎病的发病率不断上升,且呈现年轻化趋势。
患者田先生今年56岁,半年前出现颈肩部疼痛不适,双侧上肢酸胀、疼痛、麻木,右侧为甚,伴头晕不适、双下肢“踩棉感”,严重影响睡眠。经针灸、推拿、牵引等保守治疗无效……
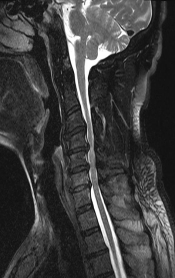
经我院骨病中心脊柱外科医师详细询问病史及查体,并完善相关辅助检查。X线片提示:颈椎生理曲度变直,颈椎骨质增生;CT、MRI提示:颈3/4、颈6/7椎间盘突出,颈4/5椎间盘膨出伴右后突出,右侧椎间孔及椎管狭窄,颈5/6椎间盘膨出伴左后突出,左侧椎间孔及椎管狭窄。综合患者临床症状,最终诊断为混合型颈椎病。
在通过沟通后,骨病中心主任袁毅团队为患者施行显微镜辅助下颈椎前路颈椎间盘切除+椎间植骨融合内固定术(ACDF)。术中在显微镜的辅助下,清楚显露解剖结构,彻底切除椎间盘、骨赘、减压椎间孔,切除后纵韧带,解除脊髓神经压迫,术中出血约20ml。
术后,无血肿压迫、脑脊液漏、感染等并发症发生,术后1周顺利康复出院。
据了解,颈椎病是颈椎间盘退行性改变及其继发的相邻结构病理改变累及周围组织结构(神经根、脊髓等),出现相应的临床症状和体征。临床上分为颈型、神经根型、脊髓型、其他型。一般情况下,颈型、神经根型以及其他型颈椎病患者首选保守治疗,对于正规保守治疗无效,严重影响生活和工作的颈型、神经根型颈椎病患者,则需要手术干预。对于脊髓型颈椎病,一旦确诊,如无手术禁忌证,原则上应手术治疗。对于症状呈进行性加重的患者,应尽早手术治疗。
一、什么是颈椎ACDF手术呢?
前路颈椎间盘切除+椎间植骨融合术是颈椎病的经典微创术式,手术步骤包括减压和重建稳定两大部分。通过颈前微创小切口,切除椎间盘、骨赘、增生的钩突、钙化的后纵韧带,并在椎体间植骨支撑内固定,达到解除脊髓神经压迫,恢复颈椎序列,重建稳定性的目的。此手术是严重颈椎病、颈椎骨折脱位、颈椎结核等疾病压迫脊髓、神经根的有效治疗手段。
二、ACDF手术介绍
手术步骤包括减压和重建稳定两大部分。在切除椎间盘组织后,采用显微镜辅助,使手术视野更清晰,手术过程中采用超声骨刀动力系统、磨钻、刮匙等工具切除椎体后方上下缘及钩突后方骨赘,扩大椎间孔,再切除钙化的后纵韧带、充分减压脊髓神经。然后在椎体间植入合适大小的椎间融合器(Cage)恢复椎间隙高度、安装前路钛板,重建椎体间稳定性。
三、显微镜辅助下ACDF手术优势
因颈椎术区空间狭小,位置较深,常规开放手术中,仅利用肉眼清晰分辨组织结构存在一定困难。显微镜辅助可使视野放大4~20倍,获得更良好的三维图像,使术野更清晰,止血更充分,减压更彻底,手术更安全。显微镜辅助下ACDF手术具有创伤小、出血少、并发症少、恢复快等优点,已成为颈椎病患者手术治疗的新选择。
随着脊柱外科技术的发展,颈椎手术不再是禁区,而是一种疗效确切并且安全的常规手术方式。在此,我院骨病中心提醒广大颈椎病患者,克服恐惧心理,及时就医,根据医生的建议,合理选择治疗方式,避免延误诊治。
必赢76net线路骨病中心脊柱外科专业组在颈椎病的治疗中坚持精准微创理念,常规通过显微镜辅助下微创前路手术治疗神经根型颈椎病、脊髓型颈椎病、颈椎椎管狭窄症患者,切口只有3厘米左右,取得良好效果。
专家推荐
袁毅,男,骨病中心主任,副主任医师,医学博士,博士后在读,硕士生导师。四川省医师协会骨科医师分会委员,四川省医学会骨质疏松专委会委员,四川省国际医学交流促进会创伤与骨科分会青年工作组组员,四川省中西医结合学会骨科康复专委会委员,四川省医学传播学会脊柱外科分会委员,达州市医学会骨科专委会副主任委员,达州市中医药学会中医骨伤专委会常务委员。
擅长脊柱内镜微创手术治疗颈椎病、腰椎病,在脊柱骨折脱位伴脊髓神经损伤,颈椎病,颈椎管狭窄,后纵韧带骨化,腰椎间盘突出症,腰椎管狭窄,腰椎滑脱,脊柱骨质疏松性骨折,胸腰椎陈旧性骨折伴后凸畸形,脊柱感染、结核的诊治方面积累了丰富的经验。

